O que Pode Esconder uma Hemorragia Cerebral?

Autores

  • Ana Vaz Serviço de Medicina Física e de Reabilitação, Centro Hospitalar Universitário de São João, Porto, Portugal
  • Tiago Moreira Serviço de Medicina Física e de Reabilitação, Centro Hospitalar Universitário de São João, Porto, Portugal
  • Ana Isabel Silva Serviço de Medicina Física e de Reabilitação, Centro Hospitalar Universitário de São João, Porto, Portugal
  • Jennifer Pires Serviço de Medicina Física e de Reabilitação, Centro Hospitalar Universitário de São João, Porto, Portugal
  • Nilza Pinto Serviço de Medicina Física e de Reabilitação, Centro Hospitalar Universitário de São João, Porto, Portugal

DOI:

https://doi.org/10.25759/spmfr.446

Palavras-chave:

Acidente Vascular Cerebral/etiologia, Hemorragia Cerebral/etiologia, Neoplasias/complicações

Resumo

As hemorragias cerebrais não traumáticas são menos comuns comparativamente a lesões vasculares isquémicas agudas configurando-se, contudo, com maior mortalidade e número de anos de vida perdidos por incapacidade. Podem condicionar múltiplos défices neurológicos, sendo a intervenção da Medicina Física e de Reabilitação (MFR) essencial para a melhoria clínica e funcional.

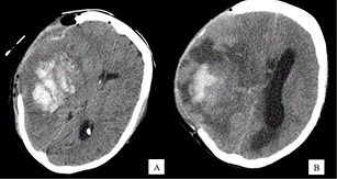
Doente do sexo feminino de 59 anos, não hipertensa, previamente autónoma nas atividades de vida diária e cognitivamente íntegra. Foi admitida no Serviço de Urgência no contexto de cefaleia intensa súbita, apresentando um quadro de hemianopsia homónima e hemiparésia esquerda. Na tomografia computorizada foi identificada uma volumosa hemorragia parenquimatosa cortico-subcortical temporo- fronto-parietal direita. Foi submetida a craniectomia descompressiva emergente. Apresentou, posteriormente, uma evolução clínica e funcional favorável, tendo sido transferida ao 66o dia para enfermaria de MFR. 17 dias depois, iniciou um quadro indolente de deterioração do estado de consciência, com progressiva sonolência e prostração, inviabilizando a participação no programa de reabilitação. Dado o agravamento do estado neurológico, foi realizado novo estudo neuro-imagiológico, o qual identificou uma volumosa lesão expansiva com padrão de realce necrótico-quístico, de provável etiologia neoplásica (primária da série glial ou secundária).

A avaliação, interpretação e orientação de casos de hemorragia intracerebral não traumática com flutuação do estado neurológico e/ou estagnação da evolução funcional na fase subaguda e crónica afigura-se como um desafio diagnóstico. É essencial aumentar a perceção de que quadros de hemorragia intracerebral sem etiologia definida podem ser devidos a neoplasias cerebrais primárias ou secundárias, os quais necessitam de uma avaliação e orientação precoce e dirigida.

Downloads

Não há dados estatísticos.

Referências

Pinho J, Costa AS, Araújo JM, Amorim JM, Ferreira C. Intracerebral hemorrhage outcome: A comprehensive update. J Neurol Sci. 2019;398:54-66.

Chen CY, Lin PT, Wang YH, et al. Etiology and risk factors of intracranial hemorrhage and ischemic stroke in young adults. Journal of the Chinese Medical Association : JCMA. 2021.

Wakai S, Yamakawa K, Manaka S, Takakura K. Spontaneous intracranial hemorrhage caused by brain tumor: its incidence and clinical significance. Neurosurgery. 1982;10(4):437-444.

Lieu AS, Hwang SL, Howng SL, Chai CY. Brain tumors with hemorrhage. Journal of the Formosan Medical Association = Taiwan yi zhi. 1999;98(5):365-367.

Reichenthal E, Rubinstein AB, Cohen ML. Infratentorial intratumoral hemorrhage. The Mount Sinai journal of medicine, New York. 1989;56(4):309-314.

Liwnicz BH, Wu SZ, Tew JM, Jr. The relationship between the capillary structure and hemorrhage in gliomas. Journal of neurosurgery. 1987;66(4):536-541.

Downloads

Ficheiros Adicionais

Publicado

2022-09-08

Como Citar

1.
Vaz A, Moreira T, Silva AI, Pires J, Pinto N. O que Pode Esconder uma Hemorragia Cerebral?. SPMFR [Internet]. 8 de Setembro de 2022 [citado 25 de Março de 2026];34(2):105-8. Disponível em: https://www.spmfrjournal.org/index.php/spmfr/article/view/446

Edição

Secção

Caso Clínico

Artigos Similares

1 2 3 4 5 6 7 8 9 > >> 

Também poderá iniciar uma pesquisa avançada de similaridade para este artigo.